Request Request Appointment Like Us Like us on Facebook Reviews Read Our Reviews Call Give us a Call Map View our Map
Now Open and Welcoming New and Existing Patients – Check Out our Safety Procedures

Invisalign

Before

After

Invisalign – Invisalign, dental implants and anterior crowns

Before

After

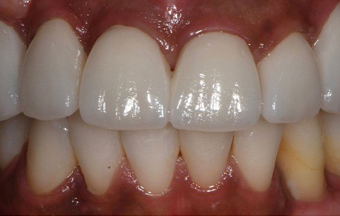
Invisalign – Invisalign, dental implants and anterior crowns

Before

After

Invisalign – Lower Arch, dental implant on lower left

Before

After

Invisalign – Invisalign, dental implants and anterior crowns

Before

After

Full Mouth Reconstruction with Invisalign and crowns

Before

After

Full Mouth Reconstruction with Invisalign and crowns

« »
More to Explore

About Us Meet the Dentists Meet the Team Tour Our Office New Patient Information View Our Services