Request Request Appointment Like Us Like us on Facebook Reviews Read Our Reviews Call Give us a Call Map View our Map
Now Open and Welcoming New and Existing Patients – Check Out our Safety Procedures

All Procedures

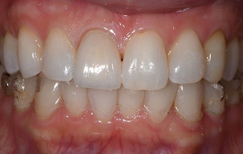
Before

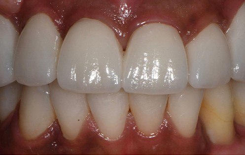
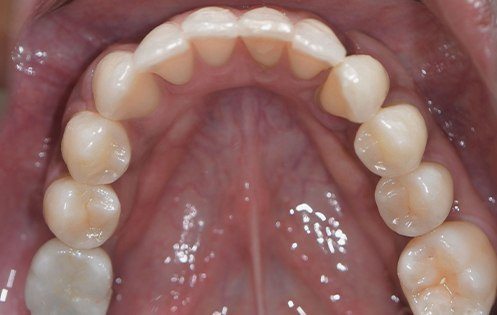
After

Crown - Full Mouth Reconstruction with Invisalign and crowns

Before

After

Crown - Full Mouth Reconstruction with Invisalign and crowns

Before

After

Crown - Full Mouth Reconstruction with Invisalign and crowns

Before

After

Crown - Anterior Crowns, dental implant and Invisalign

Before

After

Crown - Full Mouth Reconstruction with Invisalign and crowns

Before

After

Crown - Anterior Bonded Crown

Before

After

Crown – Anterior Bonded Crown

Before

After

Crown – Provisional crowns of upper anterior

Before

After

Teeth in a Day – Lower arch with screw retained denture

Before

After

Teeth in a Day – Lower arch with screw retained denture

Before

After

Dental Implant - dental implants, Invisalign and anterior crowns

Before

After

Dental Implant - dental implants, Invisalign and anterior crowns

Before

After

Dental Implant - dental implants, Invisalign and anterior crowns

Before

After

Dental Implant - dental implants, Invisalign and anterior crowns

Before

After

Invisalign – Invisalign, dental implants and anterior crowns

Before

After

Invisalign – Invisalign, dental implants and anterior crowns

Before

After

Invisalign – Lower Arch, dental implant on lower left

Before

After

Invisalign – Invisalign, dental implants and anterior crowns

Before

After

Full Mouth Reconstruction with Invisalign and crowns

Before

After

Full Mouth Reconstruction with Invisalign and crowns

Before

After

Veneer – 8 anterior

Before

After

Veneer – Single upper front veneer

Before

After

Veneer – Single front tooth veneer

Before

After

Veneer – Single upper front veneer

Before

After

Crown - Anterior bonding to close spaces

Before

After

Crown - Anterior bonding to close spaces

Before

After

Crown - Anterior bonding to close spaces

Before

After

Crown - Anterior bonding

Before

After

Crown - Composites to close spaces

Before

After

Crown - Anterior bonding

Before

After

Crown - Anterior bonding

Before

After

Gum Graft – Lower right

Before

After

Full Mouth Reconstruction - Full Mouth Reconstruction with Invisalign and crowns

Before

After

Full Mouth Reconstruction - Full Mouth Reconstruction with Invisalign and crowns

Before

After

Full Mouth Reconstruction - Full Mouth Reconstruction with Invisalign and crowns

Before

After

Full Mouth Reconstruction - Full Mouth Reconstruction with Invisalign and crowns

Before

After

Full Mouth Reconstruction

Before

After

Full Mouth Reconstruction

« »
More to Explore

About Us Meet the Dentists Meet the Team Tour Our Office New Patient Information View Our Services