Request Request Appointment Like Us Like us on Facebook Reviews Read Our Reviews Call Give us a Call Map View our Map
Now Open and Welcoming New and Existing Patients – Check Out our Safety Procedures

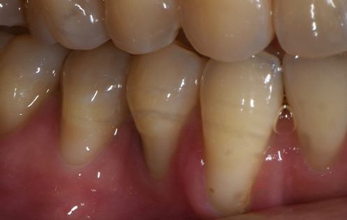
Gum Grafting

Before

After

Gum Graft – Lower right

« »
More to Explore

About Us Meet the Dentists Meet the Team Tour Our Office New Patient Information View Our Services